Vai al contenuto principale

MEDICINA ONLINE

Salute del fisico, benessere della mente, bellezza del corpo. Articoli monotematici di medicina, scienza, cultura e curiosità. Direttore: dott. Emilio Alessio Loiacono – Medico Chirurgo

MEDICINA ONLINE

Menu principale

  • Home
  • Dott. Emilio Alessio Loiacono
  • Prenotazione visite e contatti
  • Staff di Medicina OnLine
  • Privacy

Navigazione immagini

← Precedente Successivo →

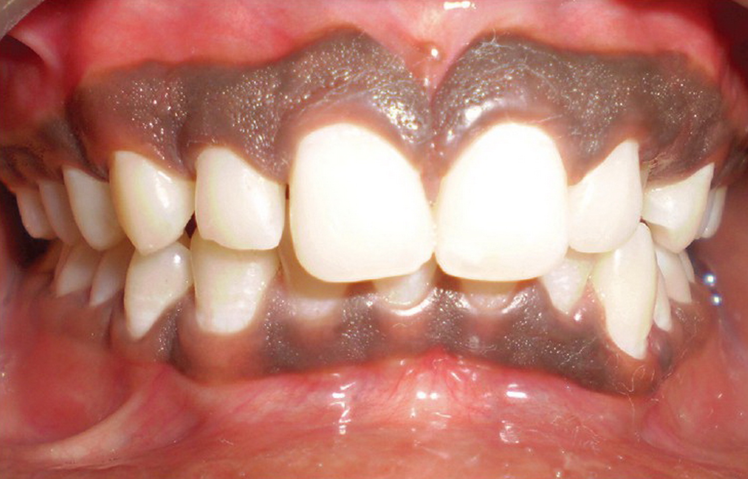
MEDICINA ONLINE Morbo di Addison IMMAGINE 2

Published 24/05/2018 at 1500 × 961 in Morbo di Addison: sintomi, immagini, terapia, mortalità, aspettative di vita
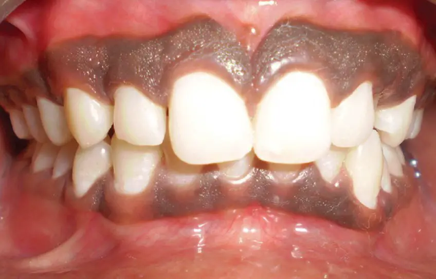
MEDICINA ONLINE Morbo di Addison IMMAGINE
  • Abbonati Abbonato
    • MEDICINA ONLINE
    • Unisciti ad altri 682 abbonati
    • Hai già un account WordPress.com? Accedi ora.
    • MEDICINA ONLINE
    • Abbonati Abbonato
    • Registrati
    • Accedi
    • Copia shortlink
    • Segnala questo contenuto
    • Visualizza articolo nel Reader
    • Gestisci gli abbonamenti
    • Riduci la barra