Foto del 1937 che mostra alcuni bambini in un polmone d’acciaio prima dell’avvento della vaccinazione antipolio. Il polmone d’acciaio è un macchinario, antenato dei moderni ventilatori meccanici, che serve per Continua a leggere
Archivi tag: poliomielite
Poliomielite anteriore acuta
Una volta che hanno invaso l’organismo, alcuni virus sono capaci di raggiungere il sistema nervoso, dove Continua a leggere
Differenza tra vaccino Salk e Sabin

Albert Bruce Sabin
I due vaccini usati contro la poliomielite in tutto il mondo oggi disponibili sono i vaccini Salk e Sabin. I due vaccini hanno eliminato la poliomielite dalla maggior parte dei paesi del mondo, tra cui l’Italia ed hanno ridotto l’incidenza a livello mondiale da circa 350.000 casi registrati nel 1988 a Continua a leggere
Cos’è il vaccino esavalente? Quando, come e perché farlo?
Cos’è il vaccino esavalente?
E’ una iniezione – generalmente da somministrare tre volte nel corso primo anno di vita del bambino, a 2, 5 e 12 mesi – che protegge i piccoli dal rischio di contrarre sei diverse malattie, vale a dire difterite, epatite B, infezioni da Haemophilus Influenzae tipo B, pertosse, poliomielite e tetano. Solo quattro di queste sei protezioni fanno parte delle vaccinazioni obbligatorie ma lo Stato – tramite il consenso informato – suggerisce e incentiva (assicurandone la gratuità) una copertura su tutti e sei i rischi di patologie. La protezione assicurata dal vaccino esavalente è molto lunga nel tempo e, per alcune delle patologie che combatte, può durare anche per l’intero arco della vita.
Leggi anche: Febbre alta nei bambini e neonati: quali farmaci e cosa fare
Da cosa è composto il vaccino esavalente
Il vaccino esavalente è composto da tossoide difterico (contro la difterite), antigene di superficie ricombinante del virus dell’epatite B (appunto contro l’epatite B), polisaccaride dell’Haemophilus Influenzae tipo B (per combattere il rischio di infezioni da questo virus), antigeni della pertosse, virus inattivati della poliomielite tipo 1, 2 e 3 e tossoide tetanico oltre che aminoacidi, sali minerali e vitamine.
Leggi anche: Febbre dopo vaccino: come curarla e quanto dura?
Effetti collaterali vaccino esavalente
Le reazioni allergiche gravi al vaccino esavalente sono estremamente rare mentre è comune che, qualche ora dopo la somministrazione della vaccinazione, il bambino lamenti una sensazione di gonfiore e dolore nella zona dove è stata praticata l’iniezione (che, tra l’altro, potrebbe arrossarsi leggermente). La febbre dopo vaccino esavalente e una diminuzione dell’appetito seguita da irritabilità e sonnolenza sono reazioni normali a circa 48 ore dopo la vaccinazione.
Leggi anche: Il calendario delle vaccinazioni obbligatorie per i vostri figli
Richiamo vaccino esavalente
Oltre alle tre dosi da somministrare durante il primo anno di vita, per la poliomielite è previsto un richiamo a 6 anni mentre difterite, tetano e pertosse richiedono altri due richiami, il primo a 6 anni e il secondo a 14.
Leggi anche:
- Vaccini anti meningite: quanti sono, quando farli, quali sono indispensabili, effetti collaterali
- Differenza tra vaccino e profilassi con esempi
- Differenza tra vaccino Salk e Sabin
- Differenza tra vaccino ed immunoglobuline
- Differenza tra vaccino trivalente, quadrivalente ed esavalente
- Differenza tra profilassi e prevenzione
- Differenza tra profilassi diretta e indiretta con esempi
- Differenza tra immunizzazione attiva e passiva
- Differenza tra profilassi attiva e passiva con esempi
- Cos’è la poliomielite? Importanza del vaccino e controindicazioni
- Vaccini: servono davvero? Tutte le verità scientifiche
- Differenza tra virus e batteri: chi è più pericoloso? Diagnosi, sintomi e terapia
- Meningite batterica e virale: sintomi, profilassi, cura e vaccini
- Differenza tra allele dominante e recessivo
- Sistema immunitario, immunità innata e specifica: riassunto, schema e spiegazione
- Immunodeficienza primaria e secondaria: sintomi, cause e terapie
- Immunità innata (aspecifica): barriere, infiammazione e complemento
- Immunità innata (aspecifica): neutrofili, macrofagi e linfociti natural killer
- Immunità specifica (acquisita): linfociti, T killer, T helper, T γδ, B ed anticorpi
- Immunità specifica (acquisita): memoria passiva, attiva ed immunizzazione
- Immunità specifica (acquisita) umorale e cellulare
- Patologie del sistema immunitario: immunodeficienze, autoimmunità ed ipersensibilità
- Anticorpi: (immunoglobuline): tipi, caratteristiche e funzioni
- Differenza tra antigene, aptene allergene ed epitopo
- Aptene: cos’è e perché è importante per il sistema immunitario
- Antigene: cos’è e perché è importante per il sistema immunitario
- Differenza tra antigeni esogeni, endogeni, tumorali, nativi ed autoantigeni
- Epitopi sequenziali e conformazionali: cosa sono e come funzionano
- HIV: dopo quanto si manifestano i sintomi? I 4 stadi dell’infezione
- Differenza tra HIV e AIDS: sono uguali?
- Si muore di AIDS? Qual è l’aspettativa di vita?
- HIV: sintomi iniziali in donne e uomini
- Differenza tra malattia, sindrome e disturbo con esempi
- Differenza tra virus HIV1 e HIV2
- Sesso e AIDS: l’HIV si trasmette anche tramite il rapporto orale
- Il liquido pre-eiaculatorio può indurre gravidanza e trasmettere l’HIV?
- HIV e AIDS: come, dove e quando si eseguono i test per la diagnosi?
Lo staff di Medicina OnLine
Se ti è piaciuto questo articolo e vuoi essere aggiornato sui nostri nuovi post, metti like alla nostra pagina Facebook o seguici su Twitter, su Instagram o su Pinterest, grazie!
Poliomielite: cause, sintomi, diagnosi, importanza del vaccino e controindicazioni
Cos’è la poliomielite e come si trasmette?
La poliomielite è una grave malattia infettiva altamente contagiosa che colpisce il sistema nervoso centrale e si trasmette per via oro-fecale (attraverso l’ingestione di prodotti contaminati, tramite saliva dei soggetti ammalati o tramite contatto con le feci di persone colpite dal virus). La poliomielite è stata riconosciuta come malattia da Jakob Heine nel 1840, mentre il suo agente eziologico, il poliovirus, è stato identificato nel 1908 da Karl Landsteine.
Leggi anche: Il calendario delle vaccinazioni obbligatorie per i vostri figli
Classificazione della poliomielite
La poliomielite si presenta, generalmente, in tre forme distinte: la prima (poliomielite abortiva) porta solo a febbre alta senza interessare il sistema nervoso, la seconda (meningite asettica) porta a una paralisi lieve e momentanea, mentre la terza – che è la forma più grave in assoluto – comporta sia febbre che “paralisi flaccida” acuta che porta gli arti inferiori a perdere molto velocemente tono muscolare fino a diventare, appunto, flaccide (oltre che paralizzate).
Sintomi della poliomielite
Sebbene circa il 90% delle infezioni da polio non causi sintomi, gli individui affetti possono presentare una serie di condizioni se il virus entra nella circolazione sanguigna. In circa l’1% dei casi, il virus penetra nel sistema nervoso centrale, dove colpisce di preferenza i neuroni motori, portando a debolezza muscolare e paralisi flaccida acuta. A seconda dei nervi coinvolti, possono presentarsi diversi tipi di paralisi. La polio spinale è la forma più comune, caratterizzata da paralisi asimmetrica che spesso coinvolge le gambe. La polio bulbare porta alla debolezza dei muscoli innervati dai nervi cranici. La polio bulbospinale è una combinazione di paralisi bulbare e spinale.
Leggi anche: Febbre alta nei bambini e neonati: quali farmaci e cosa fare
Cause della poliomielite
La poliomielite è causata dall’infezione con un virus appartenente al genere degli enterovirus, noto come poliovirus (PV). Questi virus a RNA colonizzano il tratto gastrointestinale, specificamente l’orofaringe e l’intestino. Il periodo di incubazione, ovverosia il tempo tra la prima esposizione e i primi sintomi, varia da tre a 35 giorni, con un arco più comune che va dai sei ai venti giorni. Il poliovirus infetta e provoca la malattia soltanto negli esseri umani. La sua struttura è molto semplice: è composto da un genoma a RNA racchiuso in un involucro proteico chiamato capside. Oltre a proteggere il materiale genetico del virus, le proteine del capside consentono al poliovirus di infettare alcuni tipi di cellule. Tre sierotipi di poliovirus sono stati identificati: il poliovirus di tipo 1 (PV1), di tipo 2 (PV2) e di tipo 3 (PV3), ognuno con una proteina del capside leggermente diversa. Tutti e tre sono estremamente virulenti e producono gli stessi sintomi della malattia. PV1 è la forma che si riscontra più frequente e quella più strettamente correlata alla paralisi. Gli individui che sono esposti al virus, tramite infezione o tramite l’immunizzazione con il vaccino antipolio, sviluppano l’immunità. Negli individui immuni, gli anticorpi IgA contro il poliovirus sono presenti nelle tonsille e nel tratto gastrointestinale e sono in grado di bloccare la replicazione del virus mentre gli anticorpi IgG e IgM possono prevenire la diffusione del virus ai neuroni motori del sistema nervoso centrale. L’infezione o la vaccinazione con un sierotipo di poliovirus non fornisce immunità contro gli altri sierotipi e l’immunità completa richiede l’esposizione a ciascun sierotipo.
Leggi anche: Meningite batterica e virale: sintomi, profilassi, cura e vaccini
Trasmissione della poliomielite
La poliomielite è altamente contagiosa e si può trasmettere per via oro-orale (fonte orofaringea) e fecale-orale (di origine intestinale). Nelle aree endemiche, il poliovirus può infettare praticamente l’intera popolazione umana. Il virus si presenta per lo più stagionalmente nelle fasce climatiche temperate, con il picco di trasmissione che si verifica in estate e in autunno. Queste differenze stagionali sono molto meno pronunciate nelle aree tropicali. Il periodo di incubazione è di solito compreso tra sei e venti giorni, con un intervallo massimo che va dai tre ai trentacinque giorni. Dopo l’infezione iniziale le particelle virali sono escrete, per diverse settimane, con le feci, che pertanto risultano infette. La malattia si trasmette principalmente per via fecale-orale, con l’ingestione di cibo contaminato o acqua. Talvolta viene trasmessa via oro-orale, una modalità di trasmissione più comune nelle zone in cui vi è una buona igiene. La poliomielite è maggiormente infettiva tra i sette e i dieci giorni prima e dopo la comparsa dei sintomi, ma la trasmissione è possibile finché il virus rimane nella saliva o nelle feci. I fattori che aumentano il rischio di infezione da polio o influenzano la gravità della malattia comprendono: deficienza immunitaria, malnutrizione, tonsillectomia, attività fisica subito dopo l’inizio della paralisi, lesioni muscolo-scheletriche a causa di iniezione di vaccini e la gravidanza. Anche se il virus può attraversare la placenta, il feto non sembra essere influenzato da una infezione materna o dalla vaccinazione contro la polio. Anche gli eventuali anticorpi materni possono attraversare la placenta, fornendo l’immunità passiva che protegge il neonato dalle infezioni da polio durante i primi mesi di vita. Come precauzione contro le infezioni, durante le epidemie di poliomielite le piscine pubbliche delle zone colpite sono state spesso chiuse.
Diagnosi della poliomielite
La poliomielite paralitica può essere clinicamente sospettata in individui che con insorgenza acuta di paralisi flaccida a livello di uno o più arti e riflessi tendinei diminuiti o assenti negli arti colpiti, con conservazione delle funzioni sensoriale o cognitiva e in assenza di altre cause apparenti. Una diagnosi di laboratorio può essere effettuata in seguito all’isolamento del poliovirus in un campione di feci o in un tampone faringeo. Gli anticorpi anti-poliovirus possono essere trovati nel sangue durante la fase infettiva. L’analisi del liquido cerebrospinale (CSF) del paziente, prelevato tramite puntura lombare, mostra un elevato numero di globuli bianchi (principalmente linfociti) e un lieve incremento nella concentrazione proteica. L’individuazione del virus nel liquor attesta l’avvenuta infezione del sistema nervoso centrale ed è pertanto diagnostica per la polio paralitica, sebbene ciò si verifichi raramente. Se il poliovirus è isolato da un paziente che presenta paralisi flaccida acuta, viene ulteriormente testato tramite mappatura genetica o, più recentemente, mediante reazione polimerasica a catena (PCR), per determinare se esso è “wild type” (cioè, il virus che si incontra in natura) o “da vaccino” (derivato da un ceppo del virus della poliomielite utilizzato per produrre il vaccino antipolio). È importante determinare l’origine del virus, poiché per ogni caso segnalato di polio paralitica causato da poliovirus selvaggi si stima che possano esistere altri 200 a 3000 portatori asintomatici contagiosi.
Vaccino poliomielite
Il vaccino anti-polio, contro la poliomielite, come quella contro la difterite, l’epatite b e il tetano fa parte delle vaccinazioni obbligatorie per i neonati. Per l’immunizzazione dei nuovi nati, infatti, viene utilizzato il vaccino esavalente che viene somministrato in tre dosi, da praticare entro il primo anno di vita (al 3, 5 e 11 mesi), e in un richiamo da effettuare tra il 5 e i 6 anni. Esistono due tipi diversi di vaccino, quello inattivato (o di Salk) e quello vivo attenuato (o di Sabin), ma in Italia viene praticato solo il primo, mentre il Ministero della Salute mantiene una scorta del secondo in caso di emergenza.
Leggi anche: Febbre dopo vaccino: come curarla e quanto dura?
Controindicazioni vaccino
Non esistono controindicazioni alla vaccinazione nei bambini sani che possono essere vaccinati senza alcun pericolo. Se sono invece presenti malattie infettive in forme acute, con febbre o con diarrea, è preferibile rimandare la vaccinazione al momento in cui il piccolo abbia recuperato la buona salute. Oltre a questo, poi, è consigliato attendere almeno 4 settimane dall’iniezione prima di sottoporsi all’asportazione di tonsille o adenoidi.
Leggi anche:
- Vaccini anti meningite: quanti sono, quando farli, quali sono indispensabili, effetti collaterali
- Cos’è il vaccino esavalente? Quando, come e perché farlo?
- Vaccini: servono davvero? Tutte le verità scientifiche
- Differenza tra virus e batteri: chi è più pericoloso? Diagnosi, sintomi e terapia
- Sistema immunitario, immunità innata e specifica: riassunto, schema e spiegazione
- Immunodeficienza primaria e secondaria: sintomi, cause e terapie
- Immunità innata (aspecifica): barriere, infiammazione e complemento
- Immunità innata (aspecifica): neutrofili, macrofagi e linfociti natural killer
- Immunità specifica (acquisita): linfociti, T killer, T helper, T γδ, B ed anticorpi
- Immunità specifica (acquisita): memoria passiva, attiva ed immunizzazione
- Immunità specifica (acquisita) umorale e cellulare
- Patologie del sistema immunitario: immunodeficienze, autoimmunità ed ipersensibilità
- Anticorpi: (immunoglobuline): tipi, caratteristiche e funzioni
- Differenza tra antigene, aptene allergene ed epitopo
- Aptene: cos’è e perché è importante per il sistema immunitario
- Antigene: cos’è e perché è importante per il sistema immunitario
- Differenza tra antigeni esogeni, endogeni, tumorali, nativi ed autoantigeni
- Epitopi sequenziali e conformazionali: cosa sono e come funzionano
- Differenza tra allele dominante e recessivo
- HIV: dopo quanto si manifestano i sintomi? I 4 stadi dell’infezione
- Differenza tra HIV e AIDS: sono uguali?
- Si muore di AIDS? Qual è l’aspettativa di vita?
- HIV: sintomi iniziali in donne e uomini
- Differenza tra malattia, sindrome e disturbo con esempi
- Differenza tra virus HIV1 e HIV2
- Sesso e AIDS: l’HIV si trasmette anche tramite il rapporto orale
- Il liquido pre-eiaculatorio può indurre gravidanza e trasmettere l’HIV?
- HIV e AIDS: come, dove e quando si eseguono i test per la diagnosi?
- Smegma: i rischi dell’accumulo di sporco sul pene
Dott. Emilio Alessio Loiacono
Medico Chirurgo
Direttore dello Staff di Medicina OnLine
Se ti è piaciuto questo articolo e vuoi essere aggiornato sui nostri nuovi post, metti like alla nostra pagina Facebook o unisciti al nostro gruppo Facebook o ancora seguici su Twitter, su Instagram, su YouTube, su LinkedIn, su Tumblr e su Pinterest, grazie!
Albert Bruce Sabin, il medico che fece un regalo a tutti i bambini del mondo
Il mio mito è il medico polacco Albert Bruce Sabin. Non lo conoscete? Sappiate che voi stessi o qualche vostro parente siete probabilmente vivi o comunque in salute anche grazie a quel simpatico signore che vedete in questa foto.
Questo grande uomo creò il vaccino anti-poliomielite, salvando la vita a decine di milioni di bambini. Grazie a questa sensazionale scoperta Sabin sarebbe potuto diventare uno degli uomini più ricchi della terra, ed invece non brevettò la sua invenzione, rinunciando allo sfruttamento commerciale da parte delle industrie farmaceutiche, facendo in modo che il prezzo del farmaco rimanesse estremamente basso ed alla disponibilità di tutti, anche dei più poveri, salvando milioni di bambini da una terribile malattia. A chi gli chiese il perché di questa sua decisione, lui rispose:
«Tanti insistevano che brevettassi il vaccino, ma non ho voluto. È il mio regalo a tutti i bambini del mondo»
Il mio mito è Albert Bruce Sabin, l’uomo che ha preferito non arricchirsi per regalare la vita a milioni di bambini nel mondo.
Leggi anche:
- Ignác Fülöp Semmelweis: la geniale intuizione del salvatore delle madri
- Frederick Treves, il medico che salvò la vita a Joseph Merrick
- Alan Turing, il padre dell’informatica e dell’intelligenza artificiale
- Giuseppe Moscati, il medico dei poveri disposto a tutto per curare i suoi pazienti
- Django Reinhardt, l’uomo che con sole due dita riuscì a scrivere la storia della chitarra
- Il pianista Michel Petrucciani e la malattia che contribuì a plasmare il suo stile unico
- Il chirurgo che ha operato se stesso
- Bertrand Russell: “Perché non sono cristiano”, la sua teiera ed il rasoio
- George Blind, l’uomo che rise in faccia al plotone di esecuzione tedesco
- L’esperimento di Standford: la pazzia che colpisce chi indossa una divisa
- Samantha Cristoforetti e il vero simbolo del degrado italiano
- Donne italiane di cui andare orgogliosi
- Il mio professore era Albert Einstein
- Il medico del futuro
- L’iraniana Mirzakhani è la prima donna al mondo a ricevere il “Nobel” per la matematica
- Alex Zanardi e lo scandalo italiano
- Smetti di essere schiavo e trova la tua verità: è l’unico modo per liberarti dall’ignoranza
- Ciao Margherita!
- “Non sono d’accordo con quello che dici, ma darei la vita perché tu possa dirlo” NON è una frase di Voltaire
- Leonardo Da Vinci era appassionato di cucina!
- Lorenzo il Magnifico: l’amore per la natura, gli animali e la prima giraffa in Italia
- Ero triste perché non avevo scarpe…
- Mimmo Beneventano: il medico antimafia che stava sempre dalla parte degli ultimi
- Il cardiochirurgo stremato dopo un trapianto cardiaco durato 23 ore
Dott. Emilio Alessio Loiacono
Medico Chirurgo
Direttore dello Staff di Medicina OnLine
Se ti è piaciuto questo articolo e vuoi essere aggiornato sui nostri nuovi post, metti like alla nostra pagina Facebook o unisciti al nostro gruppo Facebook o ancora seguici su Twitter, su Instagram, su YouTube, su LinkedIn, su Tumblr e su Pinterest, grazie!
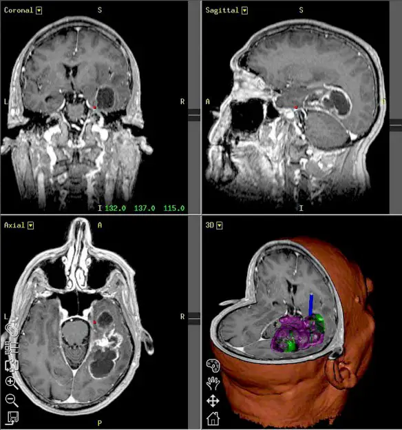
Il virus della poliomielite guarisce uno dei tumori cerebrali più maligni: il glioblastoma multiforme
Il glioblastoma (noto anche come glioblastoma multiforme) è un tumore tristemente noto per essere il più comune e più maligno tra le neoplasie delle cellule della glia (le cellule che, assieme ai neuroni, costituiscono il sistema nervoso). Purtroppo è un tumore che raramente permette una lunga sopravvivenza del paziente. Ma ora sembra che ci sia una speranza per tutti gli affetti da questa perfida patologia: il virus della poliomielite. È il network statunitense Abc a raccontare la storia di Stephanie Lipscomb, 22 anni, cui due anni fa è stato diagnosticato un glioblastoma, una delle forme tumorali più aggressive che possono colpire il cervello.
Continua la lettura su https://archivio.giornalettismo.com/la-ragazza-che-sconfigge-il-cancro-con-il-virus-della-polio/
Leggi anche:
- Come nasce un cancro? Cosa sono i cancerogeni e come avviene la cancerogenesi?
- Come prevenire i tumori ed il cancro? I 10 cambiamenti consigliati
- Differenza tra ipertrofia ed iperplasia con esempi
- Differenza tra iperplasia e neoplasia
- Un oggetto che tocchi 150 volte al giorno ha più batteri della tavoletta del wc. Di cosa si tratta e come difendersi
- Differenze tra ileostomia, colostomia e urostomia
- Differenza tra atrofia, distrofia ed aplasia con esempi
- Differenza tra organismi aerobi ed anaerobi con esempi
- Ciclo di Krebs e respirazione cellulare: spiegazione facile e schema
- Differenza tra organismi aerobi obbligati e facoltativi con esempi
- Differenza tra organismi anaerobi obbligati, facoltativi, microaerofili ed aerotolleranti
- Differenza tra virus e batteri: chi è più pericoloso? Diagnosi, sintomi e terapia
- Riproduzione cellulare e ciclo cellulare
- Mitosi: spiegazione delle quattro fasi
- Meiosi: spiegazione di tutte tappe
- È vero che i campi elettromagnetici causano tumore e cancro?
- E’ vero che cucinare i cibi al microonde fa male alla salute?
- Tumore del colon retto: diagnosi, metastasi, prognosi e stadiazione
- Tumore del colon retto: sintomi iniziali, tardivi e ritardo nella diagnosi
- Tumore del colon retto: trattamento chirurgico, radioterapia e chemioterapia
- Tumore del colon retto con metastasi: chirurgia, chemioterapia e terapie biologiche
- Tumore del colon retto: terapia personalizzata col test RAS
- Anticorpi monoclonali contro il tumore del colon retto metastatico
Lo staff di Medicina OnLine
Se ti è piaciuto questo articolo e vuoi essere aggiornato sui nostri nuovi post, metti like alla nostra pagina Facebook o seguici su Twitter, su Instagram o su Pinterest, grazie!
